Режим работы:
Пн-Сб* 8:00-20:00
Вс 9:00-18:00
Мы стремимся к предоставлению высококачественных услуг с использованием современных технологий и индивидуальным подходом к каждому пациенту.

Коронки

Записаться на приём
Стоимость от:
1 500 ₽
Услугу оказывает:

Коронки — это зубные конструкции, используемые для восстановления поврежденных или пораженных зубов. В отделении ортопедии стоматологии «Лекардо» в г. Чебоксары наши специалисты предлагают высококачественные коронки, изготавливаемые из безопасных и долговечных материалов.

Наши квалифицированные врачи-ортопеды проведут всестороннее обследование и подготовят ваш зуб для установки коронки. Процедура не только улучшит внешний вид зуба, сделав его форму и цвет естественными, но и восстановит его функциональность, обеспечивая комфорт и надежную защиту.

Этапы установки коронки

Подготовка зуба: зуб подготавливается к установке коронки путем удаления пораженных тканей и придания ему формы, подходящей для фиксации изделия.

Снятие оттиска: с помощью специальных материалов снимаются точные оттиски зубов, которые затем отправляются в зуботехническую лабораторию для изготовления коронки.

Временная коронка: на период изготовления постоянной коронки устанавливается временная, чтобы защитить подготовленный зуб и сохранить эстетический вид.

Примерка и установка: после того как постоянная коронка готова, проводится ее примерка. Если все устраивает, она окончательно фиксируется на зубе.

Помимо классических коронок на собственных зубах существуют также коронки на имплантатах, которые становятся незаменимым решением при полной утрате зуба.

Коронки на имплантатах — это современное решение для восстановления зубного ряда. Они устанавливаются на титановый или циркониевый имплантат, который выполняет роль искусственного корня. Такие коронки обеспечивают максимальную прочность и долговечность, а также выглядят абсолютно естественно. Благодаря использованию высококачественных материалов, таких как керамика или диоксид циркония, протезы обладают отличными эстетическими свойствами. Зубные коронки на имплантатах позволяют восстановить не только внешний вид зуба, но и жевательную функцию, что особенно важно для комфортной жизни пациента.

Показания к установке коронок на имплантатах

Установка коронок на имплантаты рекомендуется в случаях полной утраты зуба или его корня. Это может быть вызвано различными причинами, такими как травмы, запущенный кариес или заболевания пародонта. Также данная процедура показана пациентам с отсутствием нескольких зубов подряд, когда использование мостовидных протезов невозможно или нежелательно. Важно отметить, что перед установкой коронок необходимо провести диагностику состояния костной ткани челюсти. Если объем кости недостаточен, может потребоваться дополнительная процедура — синус-лифтинг или костная пластика.

Этапы установки коронок на имплантатах

Процесс установки коронок на имплантаты состоит из нескольких последовательных этапов:

  • Первичная консультация и диагностика, включающая рентгенологическое исследование и компьютерное моделирование.
  • Хирургический этап: установка имплантата в костную ткань челюсти.
  • Период интеграции имплантата (остеоинтеграция), который длится от 3 до 6 месяцев.
  • Снятие слепков и изготовление индивидуальной коронки в лаборатории.
  • Установка изготовленной коронки на абатмент с последующей тщательной проверкой корректности прикуса.

Таким образом, коронки на имплантатах являются надежным и долговечным способом восстановления утраченных зубов. Современные технологии и материалы позволяют добиться превосходного результата, который будет радовать пациента многие годы.

Забота о вашей улыбке — наш главный приоритет. Обратитесь в отделение Ортопедии стоматологии «Лекардо» в г. Чебоксары, чтобы вернуть здоровье и красоту вашим зубам с помощью современных коронок, выполненных с любовью к деталям и профессионализмом наших специалистов.

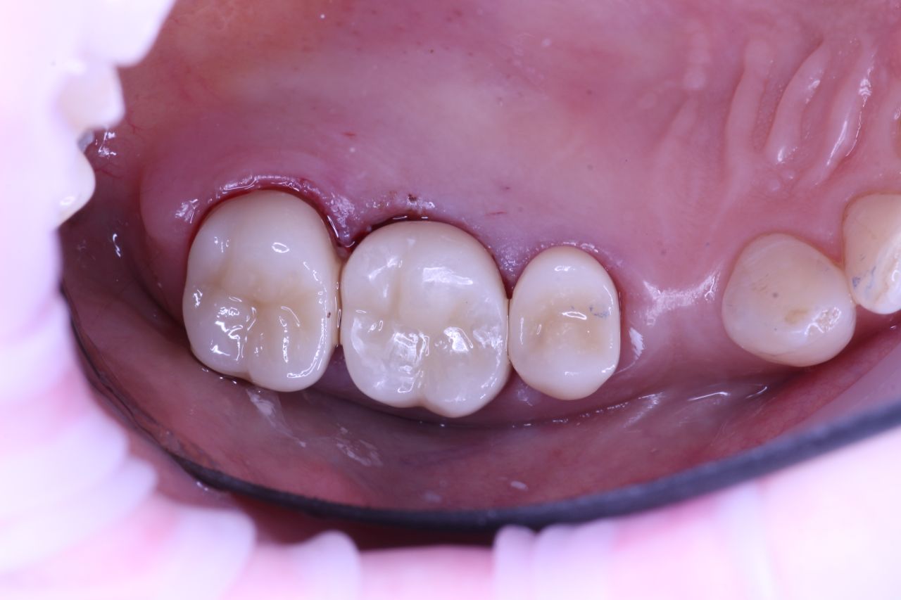
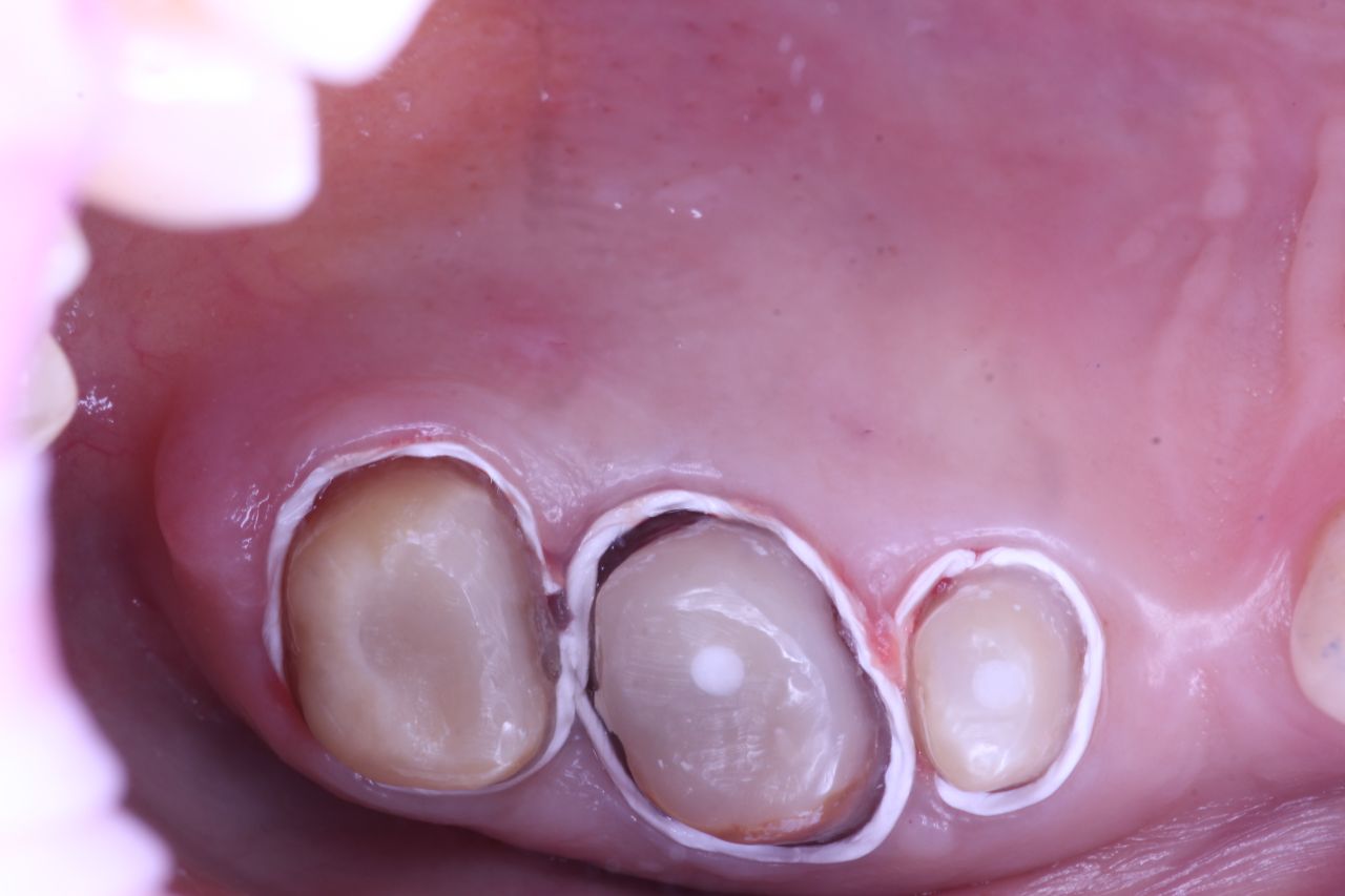
До и после
Результаты работ
Мы гордимся результатами нашей работы и результатом улыбок наших клиентов.

Внимание! Любые процедуры/операции, осуществляемые медицинским центром «Лекардо Клиник» требуют предварительный осмотр и консультацию НАШЕГО профильного врача. Любую информацию по данному вопросу уточняйте у администрации до записи и посещения клиники.

Прайс
Цены на услугу:
  • Прием врача-стоматолога-ортопеда

    от 1 500 ₽
  • Виниры

    от 40 000 ₽
  • Коронки

    от 38 000 ₽
  • Съемные ортопедические конструкции (протезы)

    от 30 000 ₽
Наши специалисты
Услугу оказывают
Высококвалифицированные специалисты с многолетней практикой.
Мы перезвоним
Оставьте заявку на консультацию
Наш администратор свяжется с вами и проконсультирует по услугам и ценам.


    Репутация клиники
    Отзывы
    О качестве нашей работы лучше всего скажут наши пациенты, а нашу экспертность подтверждают независимые порталы.
    Леночка
    Прошла проф гигиену у врача-стоматолога Бабайловой ЕС. Попала на очень выгодную акцию за 4500₽ в других клиниках семиступенчатая гигиена стоила бы от 8000₽ Прошло все супер. Стоматолог внимательная и аккуратная . Процедуру провела безболезненно, хотя у меня чувствительная эмаль. Благодарю за отличный результат.
    Татьяна Синицына
    Впервые попала в эту клинику на профессиональную чистку зубов. Была приятно удивлена: процедура прошла быстро, без дискомфорта, а зубы стали заметно белее. Гигиенист дала полезные советы по уходу. Обязательно приду ещё!
    Кирилл Нечаев
    Устанавливал виниры на передние зубы. Результат превзошёл все ожидания — улыбка стала голливудской! Врач учёл все мои пожелания, работал аккуратно и профессионально. Спасибо за новую уверенность в себе!
    Екатерина
    Привела ребёнка на лечение молочных зубов. Доктор нашла подход даже к такому капризному малышу, как мой сын. Он не плакал и даже сказал, что хочет прийти снова. Очень довольна обслуживанием и внимательным отношением к детям.
    Сергей Надин
    После долгих лет запущенного состояния зубов решил заняться их восстановлением. В этой клинике сделали полную диагностику и предложили план лечения. Все работы выполнили качественно, теперь улыбаюсь с уверенностью. Отдельное спасибо за чистоту и порядок в клинике.
    Ольга
    Хочу поблагодарить стоматологов Лекардо за профессионализм и заботу. У меня всегда был страх перед лечением зубов, но здесь я чувствовала себя комфортно. Лечение кариеса прошло быстро и безболезненно. Теперь я знаю, куда обращаться за помощью!
    Дмитрий
    Делал имплантацию зуба. Сначала боялся, но врачи всё подробно объяснили и успокоили. Процедура прошла без боли, а результат просто супер! Зуб выглядит как родной. Цены адекватные, качество на высоте. Большое спасибо всей команде.
    Анна Иванова
    Я впервые обратилась сюда и осталась полностью довольна качеством обслуживания: персонал был доброжелателен, всё сделали своевременно и на высоком уровне. Буду рекомендовать вас своим знакомым и близким, теперь планирую лечиться только у вас!