Премия «Выбор пациентов – 2025»
(лучшая клиника Чебоксар по версии НаПоправку)
(лучшая клиника Чебоксар по версии НаПоправку)
Премия ПроДокторов «Выбор пациентов в Чувашии – 2025»
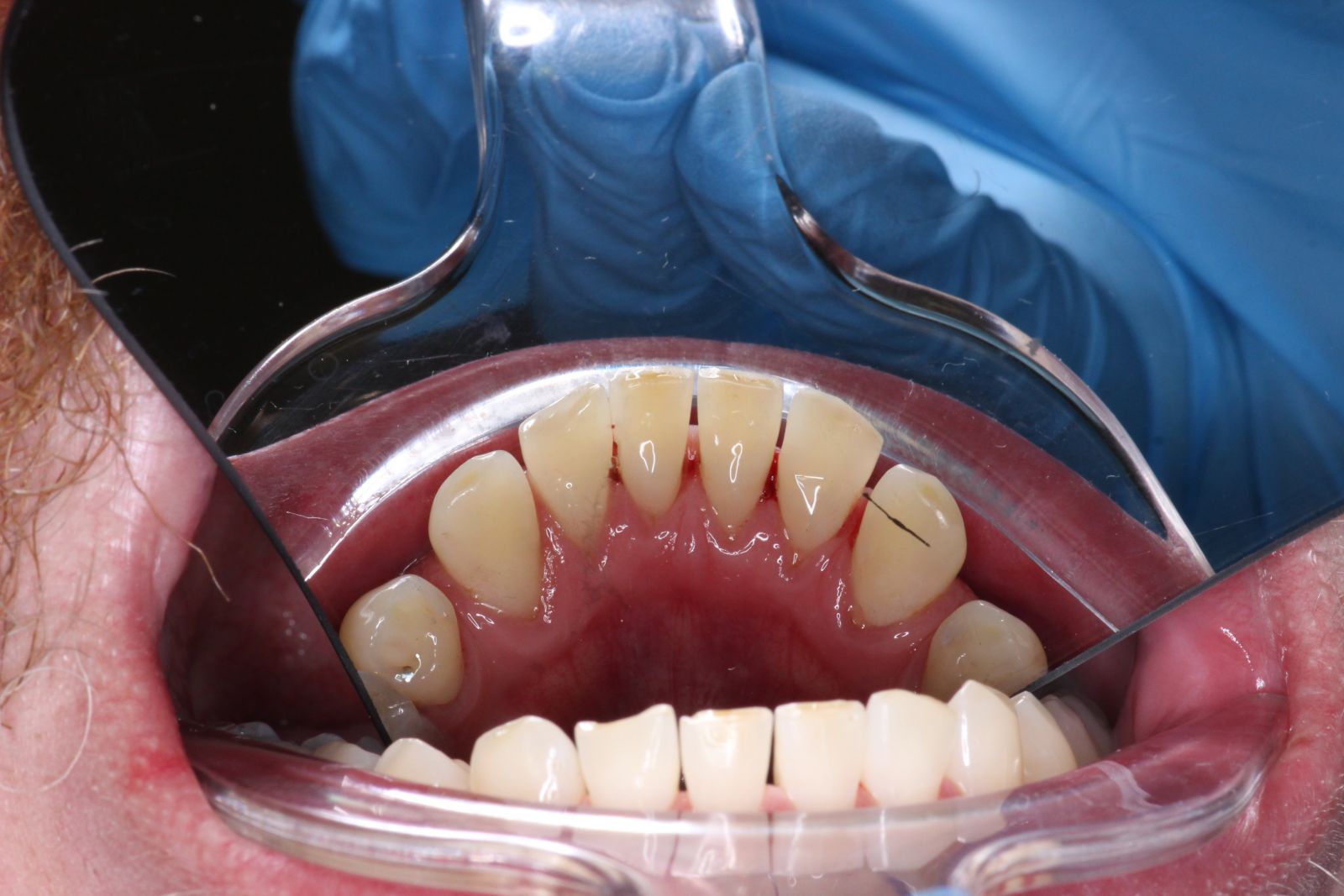
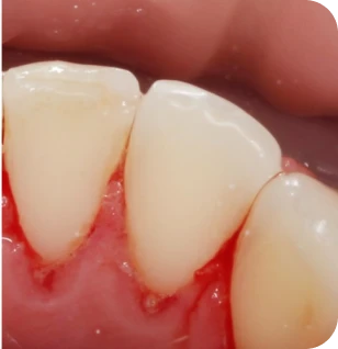
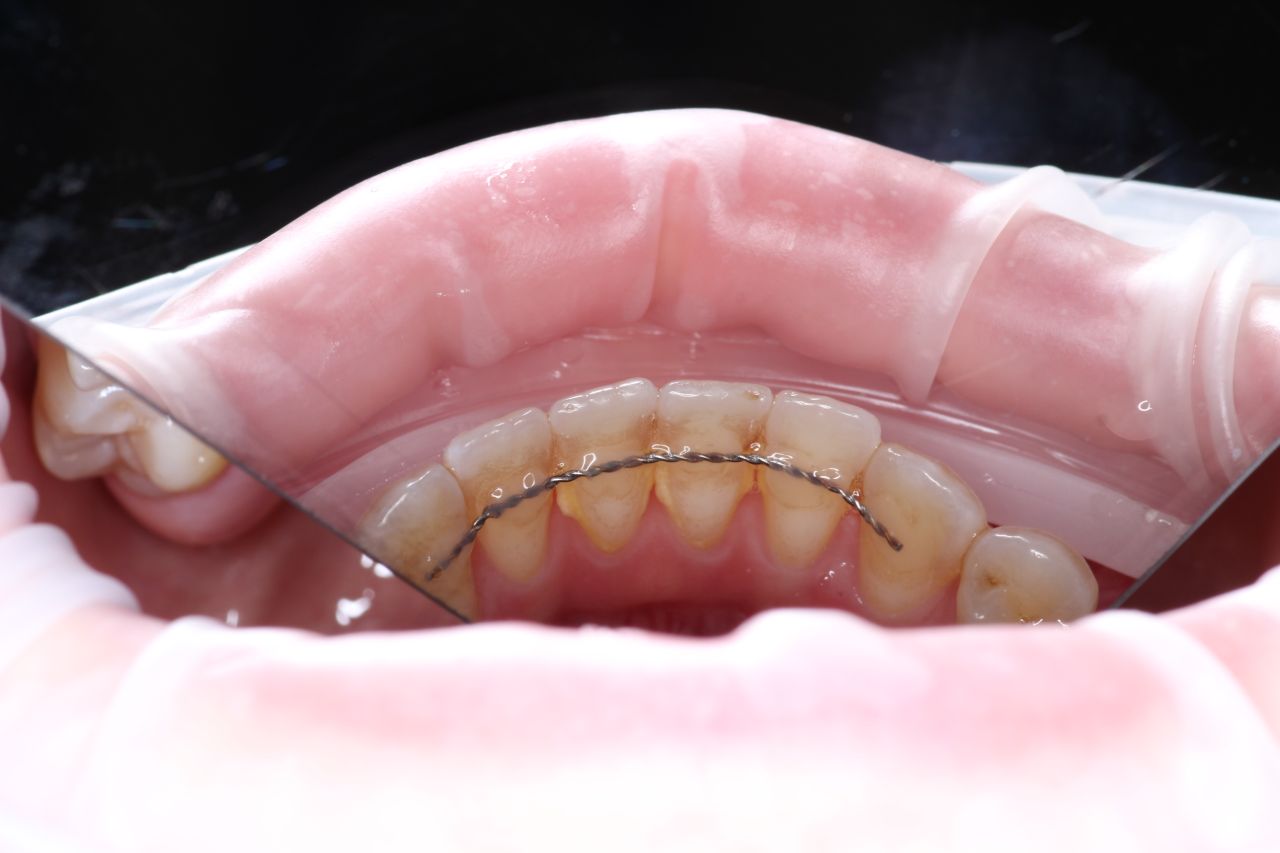
Качественное лечение в стоматологии «Лекардо»
Мы предлагаем широкий спектр услуг по уходу за зубами, чтобы обеспечить вам здоровую и красивую улыбку.









