Режим работы:
Пн-Сб* 8:00-20:00
Вс 9:00-18:00
Мы стремимся к предоставлению высококачественных услуг с использованием современных технологий и индивидуальным подходом к каждому пациенту.

Лечение кариеса

Записаться на приём
Стоимость от:
1 000 ₽
Услугу оказывает:

В стоматологической клинике «Лекардо» в Чебоксарах мы понимаем, что улыбка – это не только картинка, но и отражение вашего здоровья. Поэтому мы предлагаем профессиональное лечение кариеса для поддержания вашей уверенной улыбки.

В стоматологическом центре «Лекардо», расположенном в самом сердце Чебоксар, мы не просто заботимся о красоте вашей улыбки, но прежде всего уделяем особое внимание здоровью полости рта. По этой причине наше медицинское учреждение специализируется на профессиональной терапии кариеса, помогая пациентам сохранять безупречную улыбку на протяжении многих лет. Примечательно, что наша клиника оборудована передовыми технологиями от мировых лидеров стоматологической индустрии, благодаря чему диагностика и лечение проводятся на максимально высоком уровне.

Для начала стоит отметить, что основой успешного лечения служит тщательная диагностика. В связи с этим наши высококвалифицированные специалисты выполняют комплексное обследование, определяя степень развития кариозного процесса и разрабатывая персональную программу терапии. Помимо традиционных методов исследования, мы активно применяем цифровую рентгенографию, которая, в свою очередь, позволяет выявить даже самые незначительные признаки заболевания и скрытые дефекты зубной эмали.

Последующая профилактика и уход

После завершения лечения, мы предлагаем дальнейшую профилактику кариеса и рекомендации по уходу за зубами, чтобы поддерживать здоровье вашей улыбки на долгие годы.

Почему лечение кариеса лучше проводить в стоматологии «Лекардо»

Доверьте заботу о вашей улыбке опытным специалистам в стоматологии «Лекардо» г. Чебоксары. Мы работаем для вас семь дней в неделю и предлагаем удобный график приема, включая вечерние часы. Записаться на прием можно по телефону или через онлайн-форму на нашем сайте.

Наша клиника гордится положительными отзывами пациентов и высоким процентом повторных обращений. Присоединяйтесь к числу наших довольных клиентов и получите качественное лечение в комфортной обстановке. Помните, что своевременное обращение к стоматологу — залог сохранения здоровья ваших зубов на долгие годы.

Кроме лечения кариеса, в нашей клинике вы можете получить весь спектр стоматологических услуг: от профессиональной гигиены до имплантации и протезирования. Мы постоянно совершенствуем качество обслуживания и внедряем новые технологии для вашего комфорта и безопасности.

 

Лечите зубы выгодно в стоматологической клинике «Лекардо»!

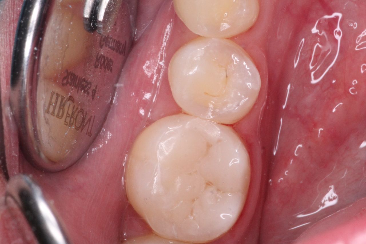
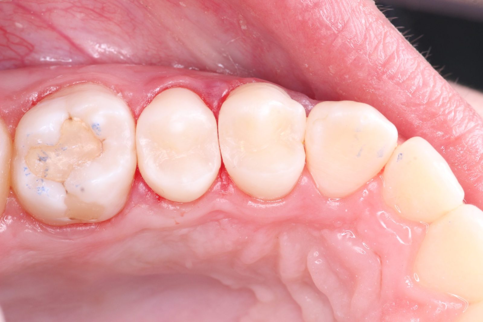
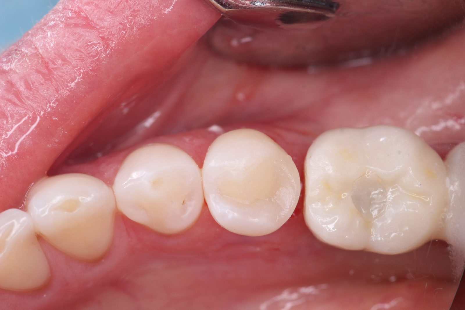
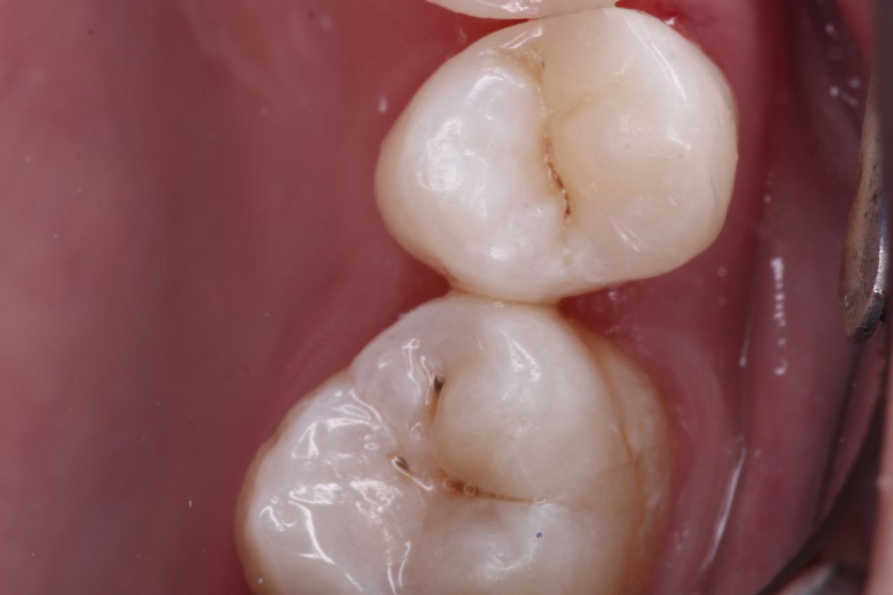
До и после
Результаты работ
Мы гордимся результатами нашей работы и результатом улыбок наших клиентов.
Лечение кариеса
Лечение глубокого кариеса
Лечение кариеса
Лечение глубокого кариеса
Лечение кариеса
Лечение кариеса

Внимание! Любые процедуры/операции, осуществляемые медицинским центром «Лекардо Клиник» требуют предварительный осмотр и консультацию НАШЕГО профильного врача. Любую информацию по данному вопросу уточняйте у администрации до записи и посещения клиники.

Прайс
Цены на услугу:
  • Прием врача-стоматолога-терапевта

    от 1 000 ₽
  • Профессиональное отбеливание зубов системой ZOOM4

    от 42 000 ₽
  • Лечение пульпита или периодонтита

    от 7 500 ₽
  • Лечение кариеса

    от 4 000 ₽
  • Реставрация переднего зуба

    от 11 000 ₽
  • Профессиональная гигиена

    6 000 ₽ от 3 900 ₽
Мы перезвоним
Оставьте заявку на консультацию
Наш администратор свяжется с вами и проконсультирует по услугам и ценам.


    Репутация клиники
    Отзывы
    О качестве нашей работы лучше всего скажут наши пациенты, а нашу экспертность подтверждают независимые порталы.
    Леночка
    Прошла проф гигиену у врача-стоматолога Бабайловой ЕС. Попала на очень выгодную акцию за 4500₽ в других клиниках семиступенчатая гигиена стоила бы от 8000₽ Прошло все супер. Стоматолог внимательная и аккуратная . Процедуру провела безболезненно, хотя у меня чувствительная эмаль. Благодарю за отличный результат.
    Татьяна Синицына
    Впервые попала в эту клинику на профессиональную чистку зубов. Была приятно удивлена: процедура прошла быстро, без дискомфорта, а зубы стали заметно белее. Гигиенист дала полезные советы по уходу. Обязательно приду ещё!
    Кирилл Нечаев
    Устанавливал виниры на передние зубы. Результат превзошёл все ожидания — улыбка стала голливудской! Врач учёл все мои пожелания, работал аккуратно и профессионально. Спасибо за новую уверенность в себе!
    Екатерина
    Привела ребёнка на лечение молочных зубов. Доктор нашла подход даже к такому капризному малышу, как мой сын. Он не плакал и даже сказал, что хочет прийти снова. Очень довольна обслуживанием и внимательным отношением к детям.
    Сергей Надин
    После долгих лет запущенного состояния зубов решил заняться их восстановлением. В этой клинике сделали полную диагностику и предложили план лечения. Все работы выполнили качественно, теперь улыбаюсь с уверенностью. Отдельное спасибо за чистоту и порядок в клинике.
    Ольга
    Хочу поблагодарить стоматологов Лекардо за профессионализм и заботу. У меня всегда был страх перед лечением зубов, но здесь я чувствовала себя комфортно. Лечение кариеса прошло быстро и безболезненно. Теперь я знаю, куда обращаться за помощью!
    Дмитрий
    Делал имплантацию зуба. Сначала боялся, но врачи всё подробно объяснили и успокоили. Процедура прошла без боли, а результат просто супер! Зуб выглядит как родной. Цены адекватные, качество на высоте. Большое спасибо всей команде.
    Анна Иванова
    Я впервые обратилась сюда и осталась полностью довольна качеством обслуживания: персонал был доброжелателен, всё сделали своевременно и на высоком уровне. Буду рекомендовать вас своим знакомым и близким, теперь планирую лечиться только у вас!